Neste caso temos três situações:
Restauração de resina composta
É uma reconstrução do dente feita com resina composta (material da cor do dente).
Realizado normalmente em uma ou duas sessões o procedimento é comparado a uma cirurgia, já que o dente é um tecido vivo, que exige grande habilidade manual além de conhecimento dos materiais odontológicos e da biologia que envolve os tecidos dentais e ao redor deste.
O material é “colado” ao dente por um sistema adesivo “biológico”, o qual garante uma resistência aumentada do conjunto dente/material restaurador.
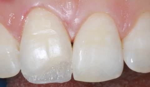
Colagem do fragmento dental
Em caso de se haver recuperado o fragmento fraturado do dente (melhor material que existe) este pode ser "colado" por um sistema adesivo “biológico”, o qual garante uma resistência aumentada do conjunto dente/material restaurador.
Em alguns casos há necessidade de completar com resina composta pequenas porções perdidas (lacunas).
Faceta Cerâmica
Em casos de fraturas maiores pode ser necessário executar uma faceta cerâmica.
