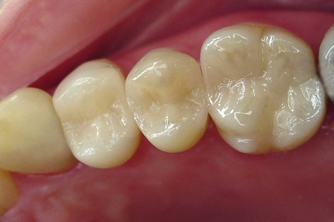
É uma reconstrução do dente feita com resina composta (material da cor do dente) para reparar danos causados por fratura (vide Fratura dental) ou cárie (esta última a mais comum).
Realizado normalmente em sessão única o procedimento é comparado a uma cirurgia, já que o dente é um tecido vivo, que exige grande habilidade manual além de conhecimento dos materiais odontológicos e da biologia que envolve os tecidos dentais e ao redor deste.
O material é “colado” ao dente por um sistema adesivo “biológico”, o qual garante uma resistência aumentada do conjunto dente/material restaurador.










